Как узнать что будет двойня на маленьком сроке
Как узнать, что ждете двойню?

Слышала, что если в роду были двойняшки или близнецы, то вероятность многоплодной беременности через поколение возрастает в разы. Стало интересно, можно ли определить самостоятельно сколько малышей родится. Оказалось, существует несколько факторов, которые указывают, что на свет появятся двойняшки. Хотите узнать о них детальнее – читайте нашу статью.
На первом сеансе УЗИ не всегда удается определить пол малышей и их количество. Поэтому беременной доктора советуют прислушиваться к своим ощущениям и обратить внимание на некоторые особенности протекания беременности.
Яркая вторая полоска на тесте
Обычно если женщина делает тест на беременность в первые дни после задержки, то она видит не очень ярко выраженную вторую полоску, сообщающую о ее новом статусе. Если полосочка очень яркая – скорее всего следует ожидать рождения двойняшек ил тройняшек.
Советуем почитать: Тесты на беременность: ответы на популярные вопросы
Резкая прибавка в весе
При многоплодной беременности будущая мама очень хорошо набирает вес. В первом триместре беременности она становится тяжелее на 5- 6 кг! Для сравнения: если у женщины родится 1 ребенок, то она набирает вес постепенно на протяжении всей беременности.
Ранний токсикоз
При второй беременности женщина разницу ощущает практически сразу и уже подсознательно знает, что родит двойню. Беременность первая? Тогда внимательно прислушайтесь к своему организму. По утрам тошнота и рвота, сонливость, слабость на протяжении дня, потливость, резкие перепады настроения, нервозность могут быть признаками многоплодной беременности.
Полезная информация: Токсикоз при беременности. Что делать?
Очень высокий показатель ХГЧ
Интересный факт: анализ крови беременной женщины, которая вынашивает одного ребенка существенно отличается от анализов у женщины с многоплодной беременностью. Если уровень ХГЧ в вашей крови очень высокий, то это может свидетельствовать о том, что следует готовиться к рождению двойни.
Наследственность
Если по женской линии в роду (как у мужчины, так и у женщины) были случаи рождения близнецов или тройняшек, то вероятность того, что у вас они тоже будут, очень высока.
Важный факт: по правилам генетики близнецы рождаются только через поколение. То есть, если у бабушки были близнецы, то и вас жизнь может порадовать таким сюрпризом.
Большой живот в первом триместре
Каждая беременная женщина – индивидуальность. Поэтому животики у них растут с разной интенсивностью. У кого-то и на четвертом месяце беременность не очень заметна, а кто-то уже в этот период ни в одно добеременное платье не влезает. Но, тем не менее, слишком интенсивный рост живота может свидетельствовать о том, что в нем сидит парочка малышей.
Высокие показатели гестации
Период от первого дня последней менструации до родов принято называть гестацией. Врачебная практика показывает, что если женщина ожидает рождение двойни, то результаты измерений в этот период бывают завышенными. Это естественно, ведь в матке вместо одного, прячутся 2-3 плода.
Ранние шевеления
Детишки, сидя в мамином животе, растут быстро. Если малыш один, то ему места достаточно. А вот двоим приходится бороться за удобное местечко. Поэтому ранние и сильные шевеления для многоплодной беременности – обычное дело.
В каком случае возрастает возможность рождения двойни?
Американские ученые сделали потрясающее открытие! Оказывается, с возрастом шансы родить двойню вырастают. Чем старше женщина (начиная с 35 лет). тем шансы рождения двойняшек выше.
После стимуляции овуляции, которую применяют при диагнозе бесплодие, чтобы увеличить шансы на зачатие шансы родить двойню также увеличиваются. Причина в том, что под действием гормональных препаратов, с помощью которых стимулируют овуляцию, может созреть одновременно несколько фолликулов. В результате – многоплодная беременность.
Частой причиной беременностью двойней является ЭКО – экстракорпоральное оплодотворение. Это вспомогательная репродуктивная технология, с помощью которой бесплодные женщины становятся счастливыми мамами.
Для этого доктора стимулируют овуляцию женщины специальными препаратами, затем оплодотворяют яйцеклетку мужским сперматозоидом вне матки. Потом выбирают несколько оплодотворенных яйцеклеток и подсаживают их в матку.
Часто приживаются 2-3 из них.
Народные приметы
Даже без УЗИ наши предки умели определять, сколько наследников родится. Существовало несколько примет. Вот самые точные из них:
- если во время беременности женщине попадаются яйца с 2 желтками – она непременно родит двойню
 - если во сне приснилось много рыбы либо парные вещи – к двойняшкам
 - если с мужем был секс накануне годовых церковных праздников,
 - если женщина ела сдвоенные плоды,
 - если заметала в доме 2 вениками,
 - если пила чай из 2 чашек, то также могут родиться близнецы.
 
Конечно, все эти признаки и приметы не дают 100% гарантии, что вы станете мамой сразу 2 ребятишек. Так что не торопитесь делать выводы, а дождитесь результатов УЗИ.
Уже на 4-5 неделе беременности с помощью ультразвуковой диагностики можно будет определить количество малышей в вашем животе. Кстати, однояйцевые близнецы определяются значительно позднее, примерно не раньше 12 недели.
Наберитесь терпения, время пролетит быстро и вскорости узнаете, рождение скольких ребятишек ожидать. Счастливой вам беременности!
Источник: http://moymalich.ru/kak-uznat-chto-zhdete-dvojnyu/
Как определить двойню на ранних сроках

Всех женщин интересует вопрос – можно ли на ранних сроках без УЗИ определить многоплодную беременность? Ответ в каждом конкретном случае может быть как положительным, так и отрицательным.
Вообще, все признаки двойни на ранних сроках можно условно разделить на чисто интуитивные и научно обоснованные. Первые ощущаются самой женщиной и порой становятся вполне достоверными. Вторые определяются врачом на первых осмотрах.
Первые признаки двойни, ощущаемые самой беременной
Женщина еще в первом триместре беременности может с определенной долей уверенности утверждать, что у нее двойня, если ее мучает необычайно сильный токсикоз. И действительно, этот признак иногда становится первым предвестником рождения близнецов.
Еще один признак – ранний рост (увеличение) живота. Однако следует помнить, что при второй и последующих беременностях живот в большинстве случаев начинает расти раньше и интенсивней, даже если там один ребеночек.
Более ранние шевеления ребенка. которые ощущает женщина, также могут говорить о том, что она носит не одного малыша. Но опять же, нужно учитывать, что при повторной беременности женщина в подавляющем большинстве случаев начинает чувствовать толчки раньше, чем при первой беременности.
Первые признаки беременности двойней, определяемые врачом
Врач на ранних сроках может отметить более интенсивное увеличение матки у женщины. Какие еще признаки двойни может определить врач: если при прослушивании сердечного ритма ребенка он слышит разночастотное биение в разных местах, то можно с уверенностью утверждать, что там бьются два сердечка.
Конечно, для подтверждения многоплодной беременности необходимо сделать УЗИ. За такой беременностью нужен более тщательный контроль со стороны врачей и самой женщины. А также знание всех особенностей вынашивания двойни.
Признаки двойни на ранних сроках беременности
Считается, что чаще всего у женщин встречается именно разнояйцовая двойня. Такое возникает, когда во время полового акта, или нескольких актов на протяжении недели, со сперматозоидами встречаются сразу две клетки, созревающие в яичнике или в яичниках.
При беременности двойней появляется большой риск не вынашивания, раннего и позднего токсикоза, внутриутробной гибели и преждевременных родов, поэтому женщине необходимо находиться под контролем специалистов. Причин такой беременности много, например:
- Незначительное отклонение в работоспособности яичников в процессе овуляции. В благоприятных условиях возможно зарождение двух яйцеклеток;
 - Добровольный шаг на беременность двойней. Это достигается при помощи определенных медикаментов, благодаря которым стимуляция яичников образует несколько плодов;
 - С применением экстракорпорального оплодотворения. Врачи, оплодотворяя будущую мать искусственно, приживляют в матку 4-6 готовых яйцеклеток. Прижиться может любое количество яиц;
 - Возможен случай наследственной многоплодной беременности. Гены уже присутствуют в организме женщины;
 - Изменение гормонального уровня после 34 лет, приводя к повышению активной деятельности яичников;
 - Возникновение пороков развития матки.
 
Признаки беременности двойней
Нахождение нескольких плодов в утробе можно узнать у гинеколога во время осмотра. Но самый распространенный метод это УЗИ, благодаря чему безошибочно можно определить количество эмбрионов в матке.
Это можно узнать лишь спустя 6-7 недель после зачатия. Скорость развития матки также может указать на возникновение двух малышей.
Прослушивание пульсации сердца и усиленный токсикоз способны подтвердить многоплодную беременность.
Протекание беременности двойней доставляет больше хлопот, нежели одноплодная. Сдача анализов и посещение гинеколога должно быть раз 1-2 недели, если осложнений не выявляется.Если проявляются какие-либо отклонения, лечащий врач назначит стационарное обследование для контроля за здоровьем малышей. Определение рождения первого малыша решает врач, исходя из расположения его и состояния здоровья матери.
В случае отсутствия жалоб и плохих анализов, роды зачастую назначаются естественным путем.
Каждая женщина заинтересована таким вопросом: можно ли и как определить без УЗИ многоплодную беременность на ранних сроках? Ответов на данный вопрос может быть множество.
Признаки двойни на очень ранних сроках могут быть двух типов: интуитивные, которые ощущает сама беременная и научно доказанные, когда определяет сам врач.
Признаки беременности двойней, ощущаемые беременной
Иногда женщина сама может определить, что у нее близнецы по необычайно сильному токсикозу. Как показывает практика, это является одним из признаков рождения двойни. Существуют еще признаки – раннее увеличение живота, ранние толчки малышей.
Признаки беременности двойней, ощущаемые специалистом
На ранних сроках беременности врач способен отметить увеличение матки у беременной. Также он способен определить беременность двойни по разночастому биению сердца. Чтоб убедиться в двойне нужно пройти ультразвуковое исследование. Врачи и сама мать должна следить за протеканием беременности.
Любая будущая мама хочет знать к чему готовиться и сколько малышей она родит. Признаки, говорящие о многоплодности на ранних сроках, состоят из ощущений мамы и наблюдений врачей.
Если в роду или у мужа в роду рождались когда-либо близнецы или двойня, то вероятность родить двойню очень велика. Бывает что женщина сама уверена, но без доказательств.
Чем сильнее токсикоз, тем вероятнее рождение двух детей.
Состояние женщины будет подавленное, усталость и желание спать будет сильным, независимо от места нахождения. При проверке беременности многие женщины заметили утолщенные полоски не тесте, что в итоге свидетельствовало двойню. Также визуальным подтверждением можно считать интенсивный рост живота.Еще одним недоказанным наблюдением является то, что многояйцовые эмбрионы начинают шевелиться раньше, чем при беременности одним малышом.
Но это совершенно не точный факт, этим может сопровождаться особенностью женщины или первой беременностью. Врач, опираясь на доказанные факты, определит двойню уже на первом осмотре.
Также, при прослушивании пульсации сердца, слышны разные ритмы в разных местах, но лишь после трех первых месяцев.
Специальная процедура Доплер, прослушивающая сердцебиение малышей, и УЗИ наверняка подтвердят наличие двойняшек. Во время благоприятной беременности однояйцовые близнецы видны после 12 недель, а разнояйцовые определяются уже на сроке 5 недель со дня зачатия. Возможны случаи, когда один плод закрывает другого, и определение двойни было только перед родами.
Ранние симптомы вынашивания двойни без УЗИ
Беременность близнецами обращает на себя повышенное внимание акушеров-гинекологов. К таким женщинам и в семьях должны относиться более внимательно, избавлять от длительной или чрезмерной физической работы.
Раннее выявление многоплодной беременности помогает женщине полноценно подготовиться к родам. Признаки, сигнализирующие о двойне в утробе, делят на те, которые показывает ультразвуковое исследование, и симптомы, которые определяет сама женщина. Среди последних, в частности:
- Наличие близнецов в роду будущих родителей. Это может передаваться генетически, и женщина станет счастливой мамой одновременно двух или трех малышей. Как показывает практика, двойня рождается через поколение.
 - Многоплодную беременность можно заподозрить после проведения теста на беременность. Контрольная полоска на нем будет явная, более жирная. Это свидетельство повышенного уровня хорионического гонадотропина в организме будущей мамы.
 - Сонливость и апатичность. При вынашивании двойни женщина очень часто на ранних сроках страдает снижением работоспособности, повышенной утомляемостью, спит буквально на ходу. Такая особенность проявляется уже с первых дней после успешного зачатия, когда женщина еще и не подозревает о своем новом положении.
 - Более выраженные признаки токсикоза. На ранних этапах вынашивания почти половина женщин страдает токсикозом. При многоплодной беременности его проявления могут быть двойными.
 
Медицинские «подсказки»
Акушеры-гинекологи выделяют такие признаки многоплодной беременности:
- Горизонтальная бороздка, которая проявляется по мере развития плодов. Она свидетельствует о наличии двух малышей.
 - Углубление дна матки, ощущаемое при пальпации. Растущие плоды выпячивают углы детородного органа. Также врач при пальпации может обнаружить две головки и два тазовых конца.
 - УЗИ на сроке 8-12 недель уже может показать присутствие двух или трех плодов. Но на таком сроке ошибка не исключается.
 
Итак, признаков, указывающих на двойню, существует немало. Поэтому женщина имеет возможность заранее подготовиться к двойной ответственности и нагрузкам. А согласно действующим нормативам в акушерстве, такая будущая мама должна посещать женскую консультацию каждые десять дней, в третьем триместре — еженедельно.
Но не стоит опасаться вынашивания и рождения двойни (тройни). Опасность тяжелого протекания беременности передается только по наследству. Но и в этом случае уровень современной медицины позволяет женщинам нормально выносить и родить своих деток.
Источники: http://womanadvice.ru/priznaki-dvoyni-na-rannih-srokah, http://dvojnja.ru/priznaki-dvojni-na-rannih-srokah-beremennosti/, http://beremennost.net/priznaki-dvoini-na-rannikh-srokakh-beremennosti
Источник: http://bydy-mamoy.ru/kak-opredelit-dvojnyu-na-rannih-srokah.html
Признаки двойни на ранних сроках беременности

Хочется отметить, что признаки, которые позволяют определить развитие многоплодной беременности, можно условно объединить в две группы — ощущения самой беременной на уровне интуиции и научно обоснованные факты. Нередко случается, что подсказки, которые дает нам интуиция, вполне могут оказаться достоверными.
Но все же наверняка о наличие в матке двух или более плодов может точно определить только лечащий врач после УЗИ-диагностики.
Но иногда даже первое ультразвуковое исследование может не дать точных прогнозов, многоплодная ли это беременность. Поэтому женщине стоит запастись терпение и ожидать результатов второго УЗИ или внимательно понаблюдать за своим состоянием.
Ведь некоторые признаки могут быть сигналом о том, что беременная ожидает двух или более малышей.
Первые признаки беременности двойней на ранних сроках
К одним из наиболее ранних примет, указывающих на двойняшек в утробе, можно отнести следующие.
Ранний и изматывающий токсикоз, наблюдающийся уже в первые дни отсутствия менструации
Если у женщины вторая беременность и при первой у нее тоже был токсикоз, то она может почувствовать разницу. Проявления раннего токсикоза ярко выражены и их вдвое больше:
- Слабость и сонливость.
 - Сильная переутомляемость.
 - Нервозность, частые перепады настроения.
 - Тошнота и рвота, которая наблюдается не только в утренние часы.
 - Повышенное слюноотделение.
 
Ярко выраженная вторая линия на тест-полоске для определения беременности
Один из первых и достаточно достоверных признаков беременности двойней на ранних сроках – это жирная вторая линия на стрипе (тест-полоска) еще в первые дни отсутствия менструации. При одноплодной беременности на этом сроке полоска будет бледной либо ее может и вовсе не быть.
Заметное увеличение веса
Вдвойне повышенный аппетит у беременной, а также увеличение объема циркулирующей в ее организме крови, может стать причиной прибавки веса. Если беременная ждет одного ребенка, то ее масса тела за весь первый триместр увеличится в среднем на 2 кг, а будущая мама двойняшек может прибавить в два раза больше.
Более быстрый рост живота
Еще одна скорее примета, чем признак беременности двойней на ранних сроках – это растущий ускоренными темпами живот. У каждой беременной живот может расти с разной скоростью, и данный признак можно считать условным, но все же при многоплодной беременности женщину, находящуюся в интересном положении, может выдавать довольно крупный живот еще в первом триместре.
Наследственная предрасположенность
Если в роду будущей матери или ее супруга были факты рождения близнецов, то и беременная может продолжить семейную традицию, родив двойняшек.
Но следует считаться с правилами генетики – близнецы в таких семьях рождаются только через поколение.
Изменение состояния кожи
Еще одна примета – признак беременности двойней на ранних сроках: беременная может отметить, что на лице появились высыпания и угревая сыпь. Это вполне естественный процесс, ведь организм беременной претерпевает глобальную гормональную перестройку, а в нашем случае доза гормонов – двойная.
Ранние шевеления внутри
первые признаки беременности двойней на ранних срокахЕсли женщина беременна не впервые, то она может отметить, что шевеления начались раньше запланированного срока и они гораздо интенсивнее. Объясняется это тем, что быстро растущим малышам приходится делить внутриутробное пространство на двоих, и их движения ограничиваются довольно тесной обстановкой.
Как врачи определяют многоплодную беременность?
Первые признаки беременности двойней на ранних сроках, по которым ориентируется врач, описаны далее.
Высокие показатели ХГЧ
По сравнению с одноплодной беременностью в анализах крови женщины, беременной двойней, уровень ХГЧ может быть сильно отклонен от нормы. Его динамика представляет собой скачкообразный рост, сильно опережающий показатели нормы для определенного срока.
Высокие показатели срока гестации
Сроком гестации плода принято считать период от первого дня последней менструации и до момента родоразрешения. Врач-гинеколог во время каждого визита к нему измеряет высоту дна матки беременной, чтобы выяснить, соответствуют ли эти размеры предполагаемому сроку беременности.
Как правило, при многоплодной беременности результаты измерений оказываются выше нормы, ведь матке приходится вмещать два плода вместо одного.
Аномальные показатели АФП-теста
Данный признак на ранних сроках беременности может указывать на двойню. Беременной необходимо сдать данный тест, чтобы знать наверняка, есть ли риск развития врожденных нарушений нервной трубки эмбриона. Если результаты теста оказались высокими либо положительными, врач может отправить беременную на УЗИ, где и определяется многоплодная беременность.
Более одного сердцебиения по системе Доплера
Система Доплера используется для определения на ранних сроках сердечной деятельности плода. Если в матке развивается двое малышей, то и прослушивается два сердцебиения, но иногда второе может быть шумом от работы сердца самой матери.
Все вышеперечисленные приметы могут быть признаками беременности двойней на ранних сроках беременности с той же долей вероятности, как и при ожидании одного ребенка. Единственным достоверным способом узнать, матерью скольких малышей вы станете, является УЗИ.
Источник
Источник: https://komarik.co/7961/%D0%BF%D1%80%D0%B8%D0%B7%D0%BD%D0%B0%D0%BA%D0%B8-%D0%B4%D0%B2%D0%BE%D0%B9%D0%BD%D0%B8-%D0%BD%D0%B0-%D1%80%D0%B0%D0%BD%D0%BD%D0%B8%D1%85-%D1%81%D1%80%D0%BE%D0%BA%D0%B0%D1%85/
Узи двойни при беременности: фото на ранних сроках в 5-6 недель и позже

Определение двойняшек и близнецов осуществляется таким продуктивным методом исследования, как УЗИ. Этот вид обследования обеспечивает информацией о месте расположения ребенка, имеется ли многоплодная беременность и др.
Как правило, двое эмбрионов четко определяют на УЗИ с самых ранних недель — 5-7. Позже врач способен это определить и без применения ультразвуковой диагностики. Двойняшек можно выявить по такому признаку, как увеличенный размер матки, уже с ранних сроков, а медицинская диагностика с применением ультразвука покажет двух детей только на 1 скрининге — в 10-14 недель.
На каком сроке беременности можно определить двойню?
Двойняшки покажутся на УЗИ уже с 5 недели
Если во время осмотра на начальных неделях акушер-гинеколог отмечает больший размер матки, чем предполагаемый, врач назначает проведение ультразвукового обследования.
В таком случае УЗИ эмбрионов покажет наличие двойни уже на 5 неделе, особенно с применением высокочувствительных датчиков 3д-сканирования. Осмотр дает возможность определить двойняшек только на сроке 9-11 недель.
Может ли врач ультразвуковой диагностики ошибиться и не увидеть двойню? Да, такое случается.
Распространенными причинами ошибки являются: применение слишком старого аппарата УЗД, поздний осмотр (на последних неделях) или когда первое ультразвуковое сканирование было пропущено.
Старое оборудование не способно на качественную визуализацию, так как протяжность излучаемого ультразвукового сигнала не достаточна для сканирования на последних месяцах.
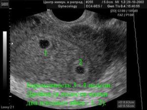
Следовательно, наличие двойняшек в утробе выявляется посредством ультразвука уже через месяц после зачатия, на снимке они выглядят как 2 образования темного цвета внутри полости матки (см. фото УЗИ-обследования двойни ниже).
- УЗИ-диагностика двойни через 11 недель показывает немного уменьшенные для своего срока развития размеры первого и второго плода – примерно 4,2-4,8 см.
 - При обследовании на 12 неделе эмбрионы имеют длину по 6 см, а их вес составляет примерно 8 грамм.
 - На 20 неделе малыши имеют вес 350 грамм. Можно заметить, что один ребенок крупнее второго. Это происходит из-за кровяного шунта, по которому происходит постоянный сброс крови одному из двух плодов.
 - После 32-34 недель малыши набирают вес до 2 кг.
 
Увидеть двойню на УЗИ при беременности можно уже через месяц после зачатия. В этом случае специалист отметит на экране монитора два пятна черного цвета, которые хорошо просматриваются ультразвуком
Характеристики многоплодной беременности
Причины, косвенно влияющие на вероятное многоплодие:
- беременной женщине более 35 лет;
 - наследственность по женской линии;
 - отклонения в структуре матки;
 - беременность в результате ЭКО;
 - беременность после отказа от оральных контрацептивных средств;
 - неестественная (искусственная) стимуляция овуляции.
 
Типы многоплодия:
- по численности эмбрионов: двойня, тройня, четверня и т.д.;
 - по количеству оплодотворенных яйцеклеток;
 - по численности образованных плацент и амниотических оболочек.
 
Типы по численности оплодотворенных яйцеклеток:
- Двуяйцевая: рождается при оплодотворении двух яйцеклеток. Характерно появление двух детей одинаковых или противоположных полов.
 - Однояйцевая (наличие близнецов). Зарождение однояйцевой двойни возникает при оплодотворении одной яйцеклетки. Малыши рождаются лишь одинакового пола.
 
Типы по количеству плацент и амниотических оболочек:
- Бихориальная биамниотическая двойня – оба зародыша обернуты отдельными плацентой и амниотической оболочкой. Может быть развитие двуяйцевых и однояйцевых двойняшек, если дробление одной яйцеклетки будет через три дня после зачатия.
 - Монохориальная биамниотическая – эмбрионы разделены двумя амниотическими оболочками, но находятся в одной плаценте, перегородка между плодами имеет два слоя. Такая разновидность двойняшек будет именно однояйцевой при дроблении яйцеклетки в промежутке 3 и 8 дня после зачатия.
 - Монохориальная моноамниотическая – одна плацента и одна амниотическая оболочка для двух плодов, межплодовая оболочка не присутствует. Эта двойня – только однояйцевая, развивается при дроблении одной яйцеклетки с 8 по 13 день после зачатия.
 
Если врач видит двойняшек (независимо от типа, к которому они относятся), это всегда большой сюрприз для будущих родителей
Определение двойни без применения ультразвука
Определить наличие двух (и более) детей в утробе без использования ультразвукового обследования возможно на поздних сроках или в момент родов при таких признаках:
- увеличенный размер матки в сравнении с предполагаемым периодом беременности;
 - прощупывание дало двойное количество малых и больших частей туловищ при внешнем гинекологическом осмотре;
 - прослушивание сердечных тонов в разных частях живота.
 
Существует несколько способов выявления двоих малышей без УЗИ:
- Анализ крови на ХГЧ. Результат анализа определит показатели несколько завышенными. Это значит, что уровень гормона выше в пару раз, чем при вынашивании одного малыша. Так как границы этого гормона весьма большие, только врач может сделать вывод о возможной беременности двумя малышами.
 - Прощупывание живота доктором и прослушивание сердечных тонов. Сердце бьется уже на 6 неделе, но услышать его можно только на ультразвуковом обследовании. Через живот прослушать его можно с 22 недели. Если специалисты сказали, что в разных участках матки различаются сердечные тона, имеющие непохожую частоту, и в промежутке есть область, где сердцебиения неслышно, – это прямой признак многоплодной беременность на ранних сроках, даже без применения ультразвука. При пальпации живота можно можно нащупать 2 большие части – это голова и таз. Если врачи сказали о том, что отчетливо прощупываются две головы и два таза, то вывод очевиден.
 - Среди женщин есть примета, по которой якобы определяются двойняшки. Считается, что сильный токсикоз — явное тому подтверждение. В некоторых случаях это может совпадать, поскольку уровень токсинов повышается, когда женщина ожидает рождения двух деток.
 
Каким способом самостоятельно определить близнецов? Если визуально видно, что живот быстро растет и уже не соответствует размерным показателям своего срока, то это может быть свидетельством двух малышей.
Выявить многоплодную беременность можно и не прибегая к помощи ультразвука. Один из проверенных способов — прослушивание сердечного ритма
Особенности вынашивания двойни
Специфика наблюдения включает следующие пункты, о которых говорят многие специалисты:
- Учащенные визиты к гинекологу: 2 раза в течение месяца до 30-ти недельного срока, 1 раз в 7-10 дней после 31 недели.
 - Слежение за набором веса. При многоплодной беременности потребность организма в витаминах, минералах, калориях намного повышается. Прибавка в весе не должна превышать 20-22 кг.
 - Необходимо принимать лекарства, содержащие железо, для предотвращения малокровия. Также прописываются поливитамины для употребления на протяжении всех 9 месяцев. Ограничение излишней физической активности, высыпание, часовой перерыв в деятельности в середине дня
 - Контрольные наблюдения у гинеколога за изменениями в шейке матки.
 - Регулярное ультразвуковое обследование для раннего обнаружения отставания внутриутробного развития.
 - Периодический контроль за структурой и состоянием плаценты, объемом околоплодных вод.
 - Превентивное употребление медикаментов против фетоплацентарной недостаточности (курантил, метионин), гестоза (магне В6), невынашивания (гинипрал, магне В6).
 
Возможные осложнения
Многоплодие – большая нагрузка для женского организма. При этом чрезмерно повышается давление на кровеносную систему, пищеварение и дыхание, увеличивается риск экстрагенитальных заболеваний (в 6 раз). Главные типы осложнений:
- усиление хронических болезней;
 - гестоз и общее ухудшение здоровья женщины (возникает на начальном сроке и проходит с тяжелыми осложнениями);
 - резкое снижение гемоглобина, вероятно появление анемии;
 - внутриутробное отставание в развитии одного или обоих плодов.
 
Ультразвуковая диагностика при многоплодной беременности проводится чаще, чем при вынашивании одного плода. Это связано с увеличением риска появления осложнений.
Обязательно приводится дополнительное ультразвуковое обследование перед родами, оно дает возможность определиться с предродовой подготовкой (так как часто можно увидеть неправильное положение двойняшек в утробе).
Если женщине сказали на УЗИ, что у нее двойня, нужно хотя бы один раз провести ультразвуковую диагностику в хорошо оборудованном медицинском заведении.
Источник: https://UziMetod.com/prenatal/na-uzi-ploda-skazali-dvojnja.html
Многоплодная беременность: 7 признаков

Многоплодная беременность – это то, к чему невозможно подготовиться, так как невозможно ее предугадать, или наоборот подсчитать ее образование. Стоит заметить, что выносить такую беременность намного сложнее и придется немало постараться, чтобы не просто сохранить малышей, но и способствовать их равномерному развитию.
Признаки многоплодной беременности на ранних сроках
В основном признаки беременности на ранних сроках одинаковые в любом случае, как при вынашивании двойни, так и одного крохи, однако, в первом случае могут быть существенные ухудшения состояния и проявление новых признаков.
Двухплодная беременность имеет такие первичные симптомы, как:
- Сильный токсикоз, причем избежать его не получится никак в отличие от вынашивания одного плода.
 - Наличие яркой второй полоски на тесте для выявления беременности, так как существенно повышается уровень гормона под названием ХЧГ.
 - Быстрое увеличение объема живота беременной женщины, распознать который можно буквально на 12 неделе, но в зависимости от физиологии это возможно намного раньше.
 - Ранее проявление шевелений малышей, так как места для передвижения у них гораздо меньше, соответственно толчки будут более яркими и ранними.
 - Быстрый набор веса, особенно в период первого триместра, что при одноплодной беременности происходит к середине второго триместра.
 - Наличие повышенного аппетита.
 - Наличие резких и серьезных перепадов настроения.
 
Кроме того, у женщины появляется потребность есть экзотические фрукты и необычные продукты, так как требуется повышенное количество витаминов и минералов, а, как известно, организм начинает искать их в пище, к которой проявляется сильный интерес.
Главные признаки двойни на ранних сроках беременности
Такой диагноз как многоплодие определить можно и самостоятельно, но лучше пройти обследование которое покажет реальный результат и подтвердит догадки.
Осмотр у врача позволяет отметить такие признаки, как увеличенная матка, которая например, на 5 неделе беременности может соответствовать 9 неделе развития интересного положения.
Сдается кровь на такой гормон как ХГЧ, и если отмечается слишком высокий показатель, то это становится еще одним признаком.
Обязательно кровь обследуется на наличие уровня железа, а также альфа-фетопротеина. Если в матке находится двойня, то уровень железа будет сниженным, а белок АПФ наоборот повышенным.Естественно, узнать то, что внутри не одно плодное яйцо, а два можно по прослушиванию двух сердцебиений, а также посредством прощупывания двух головок, но это делается на более поздних сроках беременности.
Чтобы исключить врачебную ошибку стоит обязательно пройти УЗИ.
Именно УЗИ – это вариант, который не позволит ошибиться и даст возможность выявить точное количество плодов в матке, а также с его помощью устанавливается срок беременности, и выявляются патологии или же их отсутствие.
На каком сроке можно определить двойню
Первые признаки того что женщина беременна вполне понятны, однако, когда можно будет увидеть присутствие эмбриона внутри животиков? Как правило, распознать, сколько плодных яиц содержит матка, можно по УЗИ уже на 8 неделе беременности.
Если в матке будет несколько плодов, то значит можно обнаружить несколько сердцебиений.
Стоит заметить, что специалисты не рекомендуют доверять такому результату, а если быть точнее, то требуется повторное исследование на сроке в 12 недель, так как вероятность гибели одного плода достаточно высока и по статистике только у 5 женщин из 10 может выжить второй ребенок, причем это не зависит от физиологии или здоровья организма.
Однояйцовые близнецы: когда видно на УЗИ
Как определяют наличие беременности, если присутствуют однояйцевые близнецы?
В таком случае также проводится:
- Осмотр у врача;
 - Тест на беременность;
 - УЗИ.
 
Если беременность содержит однояйцевых близнецов, то обнаружить их можно исключительно на 12 неделе и не ранее.
После определения малышей через 3 недели требуется повторное исследование, чтобы подтвердить жизнеспособность плодов.
Частое исследование посредством аппарата УЗИ не навредит малышам, так как сейчас используются исключительно современные технологии, зато можно четко отслеживать их состояние и то, как они развиваются.
Каковы признаки многоплодной беременности
На УЗИ не видно того близнецы находятся в утробе матери или двойняшки, но можно определить их количество. Стоит заметить, что одноплодная беременность существенно отличается от многоплодной и вторую можно диагностировать различными способами.
Порядок диагностики:
- Естественно сначала берется в учет анализ жалоб на состояние представительницы прекрасного пола. К таким признакам можно отнести: задержку, тошноту, рвоту, недомогание, слабость, сонливость, а также набухание молочных желез.
 - Исследуется анамнез менструальной функции, то есть когда были последние месячные, регулярный ли цикл и как именно он проходит.
 - Обязательно берутся в учет результаты теста на беременность, сделанного в домашних условиях.
 - Проводится тестирование крови на гормон ХГЧ, который при многоплодной беременности должен зашкаливать в несколько раз. Есть специальные тесты, которые можно осуществить самостоятельно, а по тому, на сколько ярко они будут окрашены, определится повышение или нормальный уровень гормона ХГЧ. Проверку стоит делать с утра, чтобы концентрация гормона в моче была максимальной.
 - Проводится гинекологический осмотр, в ходе которого должно быть выявлено увеличение объема матки.
 
Кроме того, делается УЗИ органов малого таза. Как правило, УЗИ ранее 11 недель назначают только в том случае, если ранее были такие проблемы, как выкидыш, замирание плода, внематочная беременность или же вовсе подозрение на наличие двух яиц. В остальных случаях достаточно планового исследования организма.
Двухплодная беременность и возможные осложнения
Понять причины того почему образуется двуяйцевая беременность не могут даже генетики, но в одном они уверены точно, что это зависит от наследственности, а также может быть в том случае, если оплодотворение было искусственным.
Определение многоплодной беременности происходит не сразу, а самое главное то, что нередко происходит образование нарушений и даже осложнений, причем виды таких последствий могут быть самыми различными.
То как выглядит живот, вовсе не показывает того, есть ли нарушения внутри организма, а потому требуется регулярно проходить обследование и сообщать доктору обо всех проявлениях беременности.
Осложнений может быть немало и если беременность многоплодная, то желательна госпитализация в клинику, что позволит снизить риск вреда для плода и тем более смерть одного из них.
Токсикоз является и осложнением, и своего рода нормальным течением беременности. В идеале он должен протекать в период первого триместра и не более, однако если признаки и очень яркие будут проявляться в последующих периодах, то это сигнал об ухудшении состояния.
Гестоз является осложнением беременности, которое можно охарактеризовать как нарушение функции органов, важных для жизни плода. Как правило, выставляют такой диагноз после 20 недели, как только проведено второе УЗИ и сданы анализы. Гестоз может быть трех форм от легкой до тяжелой, а проявляется он в виде повышенного давления, отеков, сильных выделений и в том числе ярко коричневой мочи.
Возникновение преэклампсии и эклампсии вполне возможно при многоплодной беременности, а возникает это на фоне гестоза тяжелого вида. В виде симптомов может быть возникновение повышенного артериального давления, головокружения, а также мелькания мурашек в глазах. В таком случае желательна госпитализация в клинику под круглосуточное наблюдение врачей.
При многоплодной беременности возможны такие проблемы:
- Невынашивание беременности;
 - Преждевременные роды;
 - Угроза замирания обоих плодов, или одного из них.
 
Стоит заметить, что для исключения таких последствий, нужно постоянно сдавать анализы, проходить обследование и самое главное соблюдать все рекомендации доктора относительно лечения, образа жизни и питания. Женщине в таком положении требуется двойная доза витаминов, спокойствие и самое главное – это свежий воздух и помощь близких.
Чтобы исключить угрозу преждевременных родов нужно следить за тем, чтобы не было тонуса матки, что позволит избежать схваток, отхождения плаценты и тому подобных проблем. Недоношенной беременностью считается та, которая окончилась на сроке 20-37 недель, а чтобы ее предотвратить, при угрозе требуется прием специальных препаратов.
Бывает и переношенная беременность, причем это та, которая окончилась на сроке более 42 недель.Внутриутробная гибель плода на сроке в 28 недель возникает по причине собственной халатности матери, а также по врачебной ошибке, например, если ранее были недосмотрены пороки, а потому стоит выбирать только квалифицированных специалистов и посещать пламенное сообщество будущих мам.
Проблемы многоплодной беременности (видео)
Проблем и сама беременность, и ее отсутствие может доставить немало, а потому нужно относиться к ней со всей ответственностью, чтобы избежать гибели малыша и тем более его недоразвития. Сейчас существует множество препаратов, помогающих сохранить беременность и технологий, позволяющих тщательно следить за ней, и пренебрегать ими не стоит ни в коем случае.
Источник: https://mamafm.ru/beremennost/priznaki/mnogoplodnaya-beremennost
10 ранних признаков многоплодной беременности

Здравствуйте, уважаемые подписчики! Некоторые мамы точно знают, что беременны двумя и более младенцами с самого начала. Возможно, они имеют сильную интуицию, либо, вероятнее всего, находятся под наблюдением репродуктивного специалиста. В сегодняшней статье я перечислю основные симптомы многоплодной беременности на ранних сроках.
Оглядываясь назад, многие из симптомов для меня очевидны – жуткий токсикоз, крайняя усталость (все, что я хотела – это валяться на диване). После новости о том, что у нас будут близнецы, мы с мужем испытали бурю эмоций: от ужаса до счастья. А ведь вероятность многоплодной беременности так невелика (1 случай из 80).
Подозрительные симптомы
У большинства женщин обнаруживают многоплодную беременность только после УЗИ. Тем не менее, существует ли способ, позволяющий узнать, что вы вынашиваете больше, чем одного ребенка? Да, вы можете это понять до визита к врачу. К ранним признакам многоплодной беременности относятся:
Сильный токсикоз
Непереносимость некоторых пищевых продуктов и запахов сопровождает многих женщин в начале пути. Но многоплодие усиливает симптомы недомогания, такие как тошнота и рвота, которые могут возникать в течение всего дня.
Утомляемость
Чрезмерная усталость является распространенной жалобой женщин, вынашивающих близнецов, как на ранних сроках, так и на всем протяжении беременности. В их организме происходит мощная гормональная перестройка, поэтому для выполнения повседневных дел остается так мало энергии.
Постоянный голод
Растет малыш – это тяжелая работа для организма, особенно, если их два. Вы питаетесь уже не за двоих, а за троих. Мамы часто не знают о двойне на ранних сроках. Они кушают недостаточно и ощущают беспрестанное чувство голода.
Не подходит прежняя одежда
Прибавка в весе может варьироваться в зависимости от роста женщины, ее телосложения, сколько она весила до этого. При одноплодной беременности мама набирает в среднем 1-2 кг. Если больше, то это говорит о многоплодии или о чрезмерном потреблении нездоровой пищи. Если у вас есть явно большой живот в 8-10 недель, то это свидетельствует о наличии нескольких малышей.
Гормоны выходят из-под контроля
Так как организм вырабатывает гормоны в повышенном количестве, перепады настроения во время двойной беременности могут быть хуже, чем при ПМС. Поэтому перейти от слез к радости, от меланхолии к активным действиям и обратно за пять минут – это не редкость.
Повышенный уровень хорионического гонадотропина человека
Данный гормон растет быстрыми темпами, достигая максимума около 10 недель. Из-за того, что уровень ХГЧ выше при многоплодной беременности, то и положительный тест появляется раньше, чем обычно, и выглядеть он будет в виде двух жирных полосок.
Экстремальная изжога и гиперактивный мочевой пузырь
Данные симптомы более выражены потому, что два ребенка занимают больше места, чем один. Кроме того, дети растут быстрее, матка при многоплодной беременности оказывает еще большее давление на желудок и мочевой пузырь.
Несколько тактов сердцебиения
Услышать стук сердца вашего ребенка в первый раз – одно из самых запоминающихся событий. Используя звуковые волны, допплеровский детектор усиливает сердечные тоны плода. К сожалению, это не самый эффективный способ на ранних сроках.
Отчетливо стук сердца обычно регистрируют к концу первого триместра. И даже то, что покажется сердцебиением второго малыша, может быть обычным эхом стука материнского сердца.
Либо малыши могут располагаться в матке так близко друг другу, особенно однояйцевые, что их ритмы не различаются и сливаются в один звук.
Высокие результаты теста на альфа-фетопротеин
Анализ на АФП, также известный как «тройной скрининг», обычно проводится во втором триместре. Он исключает риски врожденных дефектов плода. С двойней титры данного маркера имеют повышенный уровень.
Интуиция
В дополнение к физическим симптомам многие мамы говорят о необъяснимом предчувствии или смутном подозрении. Зачастую происходят необычные случаи. Одна будущая мать близнецов обнаружила, что все яйца, которые она купила для праздничной выпечки, содержат двойные желтки. Через пару дней УЗИ показало, что она ждет двойню!
Самый верный способ диагностики двойни
Считается, что точно увидеть несколько эмбрионов, можно только при помощи УЗИ. На каком сроке определяют многоплодную беременность? Специалист может увидеть данный факт в 5-6 недель. Но, как правило, ее диагностируют во время первого скрининга в 12 недель.
Хотя бывают случаи, когда УЗИ не обнаруживало двойню (там просто слишком много носов, чтобы точно определить, кто есть кто). Иногда когда двойня выявляется очень рано (до 10 недель) позже находят только одного ребенка. Так называется синдром «исчезающего близнеца».
Кстати, самая большая многоплодная беременность в современном мире случилась у 33-летней Нади Сулиман в 2009 году. Она забеременела с помощью ЭКО и родила восьмерых здоровеньких детишек. Интересно, что шесть малышей у нее уже было. Книгой рекордов зафиксированы и десять одновременно рожденных детей, но ни один из них не выжил.
Теперь вы знаете, как определить многоплодную беременность, и эта новость не застанет вас врасплох, как меня.
Адресуйте статью своим друзьям в социальных сетях и не забудьте оформить подписку на рассылку. Дальше будет еще интереснее!
Источник: https://gemelos-feliz.ru/vse-dlya-mami/beremennost/simptomy-mnogoplodnoy-beremennosti/


